Leaderboard
Besonders beliebte Inhalte
Showing content with the highest reputation on 26.08.2018 in allen Bereichen
-
Hallo Alex, ich persönlich fand schon immer dass das ISG ein Thema für sich ist, da es im Bewegungsapparat nichts vergleichbares gibt. Ich finde es unvorstellbar, wie ein ISG nicht blockiert werden könnte. Da es durch Ligamente regelrecht umschlungen ist, kann durch die kleinsten Veränderungen der Beckenstellung oder der Bandstruktur bereits eine Blockade entstehen. Und da dies eigentlich andauernd passiert und wir es meist nur erst dann merken, wenn es schmerzt, kann es in meinen Augen nur physiologisch sein. Sprich, es ist die regelmäßige Wechselbewegung und Haltungsanpassung des Körpers, was uns aus der Blockade holt (bzw. holen müsste). Weil wir uns aber heutzutage wenig bewegen, verharrt das Becken oft in Fehlstellungen und wir wissen ja das Knochen arbeiten (Osteoblasten/klasten). Somit passt sich der Körper falsch an und das schmerzt. Ein Knorpel wird hier gar nicht benötigt für die wenige Bewegung, die im ISG möglich ist. Bei Verschiebungen kann ich mir, wie du es bereits sagtest, Gewalteinwirkungen vorstellen. Ansonsten aber eine Fehlstellung des LWS/Beckens, was allerdings durch falsche Bewegungsabläufe in verstärkte Fehlstellung gebracht wird. Angeborene Fehlstellungen, sowie anatomische Beinlängendifferenzen und Skoliosen sind da auch noch zu beachten. Bei der Mobilisation würde ich mich auf die Nutation und Kontranutation des Sacrums und aktive, reziproke ventral/dorsal Bewegungen fokussieren und evtl. mit Widerständen arbeiten. Dehnungen (v.a. der Glutaen) können auch was bringen. LG1 point
-
...ja genau, das ist der. Bleib dran. Versuche die Druckpunkte dosiert zu steigern. Das wird dann von Tag zu Tag besser werden. Du kannst auch gerne mit einer Faszienrolle oder einem Tennisball die Wadenmuskulatur bis zur Kniekehle zu massieren. am Boden sitzend, gestrecktes Bein und gaaaanz langsam rauf und runter massieren. Zur Steigerung kannst du zusätzlich noch den Fuß ran ziehen und strecken. Das ist das aktuelle Foto. Du siehst der ist deutlich massiver. Entweder du hast eine Fehlstellung am Fuß oder an der Hüfte (ISG) Der Muskel versucht das auszugleichen und muss sich mächtig anstrengen. Daduch wird er kräftiger und bildet diese genannten Trigger.1 point
-
Perfekt - Vergiss den Kopf nicht, die HWS sollte eine gerade Linie zur BWS bilden! Das sind kleine korrekturen, die du dann machst um den Prüfern zu zeigen, dass du alles im Griff hast. Man sollte aber die Patienten nicht einzeln auf die Fehler aufmerksam machen. Immer verallgemeinern, also an alle richten! Z.B. "Bitte denken Sie daran, den Kopf gerade zu lassen" und z.B. "wer Schmerzen hat, lässt die Übung aus oder macht Pause"1 point
-
..."mehr sag i net" heißt, dass der Link eigentlich alles über diesen Popliteus sagt.Und wie du ihn behandelst. Du musst aber auch Geduld haben. Die Triggerpunkte reagieren nur sehr langsam auf Reize. Ich denke, das wird sich einige Wochen hinziehen. Trotzdem würde ich auch den Aspekt einer Blockade in betracht ziehen. Versuche erst mal den Popligen Muskel zu behandeln Evtl. könntest du dir weiter Tipps über den Muskel aus Youtube oder aus dem Netz ziehen...1 point
-
Sind heftig viele Bilder aber der gianni ist da pfiffig und sieht eben doch was. Von der Lokalisation her könnte es gut passen. Bud guck dir mal die Seite an, sehr gut erklärt wie ich auf den ersten Blick gesehen habe. Probier es aus und sieh was passiert LG1 point
-
Puhhh, das sind ganz schön viele Bilder, Bud Hill. Ich werde sie in ein paar Tagen löschen. Also, das Knie(Gelenk) scheint mir auf den ersten Blick tatsächlich in Ordnung zu sein. Was mir allerdings, nach mehrmaliger durchsicht und vergleiche mit anderen Bildern im Netz aufgefallen ist, dass mit dem "Popliteus" Muskel etwas nicht stimmt. Das könnte von den Symptomen her auch passen. Ich velinke dich am Besten mit einer Seite dazu, die eigentlich alles darüber aussagt. https://www.muskel-und-gelenkschmerzen.de/triggerpunkte/triggerpunkte-selbst-behandeln/popliteus/ Mehr sag i net...1 point
-
Hallo Sebastian, da sich in dieser Zeit sowieso sämtliche Strukturen der Frau verändert haben, bietet es sich an, anzuwenden was der Dame gut tut. Auf lange Sicht zu therapieren macht hier wenig Sinn, da sich der Körper nach der Entbindung erstmal zurückbilden muss. Ruhig die Patientin fragen, wie sie es empfindet. Bin sicher, du hast es bereits richtig gemacht. LG1 point
-
Wie heißt es so schön - das Knie ist es nie! Man muss auch mal über dem Tellerrand hinausschauen. Das ist immer der selbe Fehler, den viele Kollegen machen. Auch wenn am Kniegelenk tatsächlich ein Schaden ersichtlich wäre, ist es gaaaaanz selten, dass die Ursache das Knie selber ist. Das müsste z.B. durch einen Sturz oder durch eine Verdrehung direkt verletzt worden sein. Man müsste erst mal verschiedene Funktionstests der einzelnen Gelenke durchführen, die (in)direkt mit dem Knie verbunden sind. Das wäre: Becken(ISG), Hüfte, Wadenbein, Sprunggelenk(obere) und das Knie selber auf evtl. Blockaden prüfen. Das letztere wäre meine eigentliche Vermutung. Deine Symptome deuten so ziemlich auf eine Blockade im Kniegelenk selber hin. Denn selbst ein Meniskus kann durch eine Blockade eingeklemmt sein. An deiner Stelle würde ich mir jemanden suchen, der dir deine Knochen zurecht rückt! Am Besten einen Ostopathen oder einen Chiropraktiker. Hier ein Beispiel wie das aussehen sollte: https://www.youtube.com/watch?v=rHJOH_ZblKI1 point
-
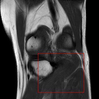
Hallo Bud, das klingt ja alles garnicht so schön was du da beschreibst. Ich hätte da erstmal ein paar Fragen - was war denn die Diagnose die auf dem Rezept drauf stand? Was hast du denn bekommen? Manuelle Therapie, Krankengymnastik? Die Therapeuten bei denen du warst, haben keine Tests mit dir gemacht? Wurde das MRT mit Kontastmitteln gemacht oder ohne? Dass man entzündliche Prozesse besser erkennen kann? Was mir so in den ersten Sinn kam, dass es mögliherweise eine muskuläre Dysbalance sein könnte - dass deine vordere Oberschenkelmuskulatur viel kräftiger ist als die Rückseite und damit die Zugkräfte sich ändern. Wenn du Pistolsquats machen kannst, gehe ich davon aus, dass dein Gleichgewicht und Stabilität in der Unteren Extremität ausreichend vorhanden ist. Eine Längenmessung wäre mal ganz interessant wie lang die jeweiligen Knochen sind. Genauso interessant wäre auch das MRT-Bild zu sehen. Wenn du es hast und hochladen oder mir zuschicken möchtest, wäre das sicher auch interessant. LG1 point
-
Guten Abend, soweit ich weiß ist die Indikation für Querfriktion eine Sehnenansatzreizung oder Wundheilungsstörungen. Ich mein, wozu sie jetzt "stressen" wenn man es auch einfach mit leichten Massagegriffen machen könnte oder mal ne heiße Rolle. Traktion HWS sollte jetzt nichts dagegen sprechen - solange es für sie angenehm ist - würde ich aber nicht in den Vordergrund der Behandlung stellen - ich mach das gern gegen Ende nochmal leicht und die warmen Hände auf das Occiput auflegen - damit die Wärme auch lokal dort etwas wirken kann - empfinde ich als sehr angenehm. Hoffe ich konnte helfen. LG1 point
-
Hallo. Ich verstehe dein Problem. In welchem Ausbildungsjahr bist du denn? Bist du schon im Praktikumseinsatz? Was du wie mit einem Bandscheibenoperierten machen darfst, ist häufig Einrichtungsabhängig. Wenn du im KH Einsatz bist haben die häufig so Vorgaben an die du dich halten solltest, den Rest lernst du in der Schule. Das habe ich z.B. gelernt: Hüftfrakturen/ Hüft-TEP • Keine Scherkräfte • Kein langer Hebel • Nicht > 90° Flex • Keine ADD • Keine Rotation • Oft TB 15 – 30 kg für ca. 3 – 6 Wochen (je nach Arzt/Haus) • d.h. über betroffene Seite aufstehen aus der RL Knie – TEP • Keine Rotation • Meistens keine Flex > 90° • Oft TB 15 – 30 kg für ca. 3 – 6 Wochen (je nach Arzt/Haus) • Distale Widerstände • Langer Hebel OSG Frakturen • Dorsalext > 0° • Pro für 6 Wochen • Keine Knierotation • Oft TB • Weber C → häufig 6 Wochen Entlastung Es ist schwierig zu sagen, das du die ersten Tage nur bei den Begleitern zuschaust und erst dann eigene Patienten bekommst, oder direkt „ins kalte Wasser“ geschmissen werden möchtest, und am ersten Praktikumstag direkt erste eigene Patienten haben möchtest. Ich kenne es nur so, dass ich ins eiskalte wasser geschmissen wurde und direkt eigene „einfache“ Patienten hatte, also innere Patienten mit Atemtherapie und ich glaube Knie- oder Hüft TEP Patienten. Damals war es eine sehr große Herausforderung für mich, aber im nachhinein fand ich es in Ordnung. Wichtig für dich ist, das du dich selbst reflektierst, dazu dienen z.b. folgende Fragen: Was kann ich? Welche Fähigkeiten habe ich? Was möchte ich wissen bzw. können? Was möchte ich verbessern? Wo sehe ich Probleme? Und dir Lernziele erstellst, was du im Praktikum erreichen möchtest und dir das vor Augen hälst. Das fand ich immer sehr hilfreich, war für mich aber auch Pflichtprogramm. Ich hoffe ich konnte dir ein wenig helfen, ansonsten musst du noch mal spezifischer fragen ;) liebe grüße1 point
This leaderboard is set to Berlin/GMT+01:00
