Jump to content

Hüftdyplasie


badebeister

Recommended Posts

Geschrieben

Hallo Leute,

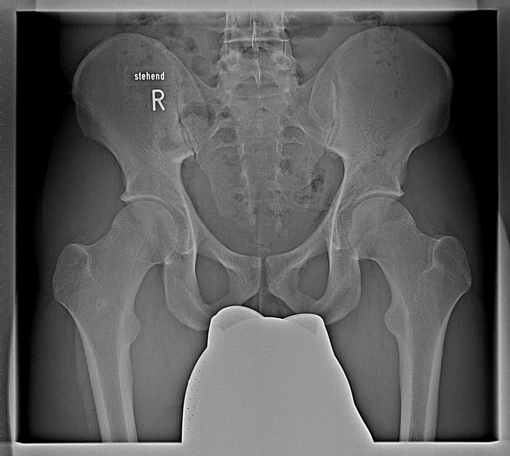
ich brauche mal euren Rat. Bei mir wurde eine leichte Hüftdyplasie festgestellt. Da ich Orthopäden nicht so recht traue möchte ich euch bitten, dass Bild zu beurteilen.

Welche Behandlung und Übungen wären hier angebracht? Der Arzt hat mir ebenso Physio verordnet.

Freue mich über Anregungen.

 

00000001.thumb.jpg.000cf65b46c80b54f22bf6145934b8e0.jpg


Geschrieben

Guten Abend Badebeister,
warum genau traust du deinem Orthopäden nicht? Meiner Meinung nach hat er schon richtig erkannt, dass mit deiner Hüfte etwas nicht stimmt. Hast du Schmerzen?
Was man auf dem Bild gut sehen kann, ist keine klassische Hüftdysplasie (zu flach ausgeprägte Pfannen) sondern eher zu stark ausgeprägte bzw. deutlich vertiefte Hüftpfannen, das ist eine Form des "Femoroacetabuläres Impingement" (FAI). In deinem Fall wäre das das "Pincer-Impingement". Bei diesem "Beißzangen-Impingement" ist meist die Hüftpfanne deutlich vertieft, die Hüftkopfform jedoch normal. Dadurch stößt der Schenkelhals wiederholt am Pfannenrand an und verdrängt oder klemmt die Gelenklippe ein und schädigt sie mit der Zeit. Typisch hierfür sind Leistenschmerzen bei bestimmten Bewegungen. Diese lassen sich bei einem Befund gut reproduzieren!
Um auf Nummer sicher zu gehen würde ich vielleicht noch ein MRT machen lassen. Dadurch lassen sich evtl. Schädigungen der Gelenkslippe gut erkennen.

Geschrieben

Warum ich einem Orthopäden nicht traue? Zu viele schlechte Erfahrungen gemacht. Es wurden diagnosen in den Raum geworden, diese wurden durch Einsatz von Zeit und Geld durch die Therapie der Orthopäden behandelt aber führten letztlich nicht zum Erfolg. Aber gut anderes Thema. Ich habe so erstmal keine Beschwerden an der hüfte. War beim Arzt weil ich beim kreuzheben und Kniebeugen, ich besuche regelmäßig das Fitnessstudio, manchmal schmerzen oder ein ziehen im unteren rücken haben. Vermutlich weil er leicht einrundet. Ich wollte eigentlich nur eine Bandage für die lws haben und das wurde nun daraus. Leisten Schmerzen hatte ich bis jetzt eigentlich auch nicht wirklich wenn ich ehrlich bin. Ist das jetzt besser oder schlechter für mich als die klassische hüftdysplasie? Und vorallem lässt sich das ganze durch manuelle Therapie / mobility und Stärkung bestimmter Muskeln therapieren?

Geschrieben

Man müsste die Hüfte in einem Befund, beim Physio mal durchtesten ob tatsächlich was damit ist. Es kann aber auch sein, dass dein FAI zunächst Symptomlos bleibt. Rückenschmerzen können natürlich auch in indirekter Verbindung mit der Hüfte stehen. Nämlich über die so genannte Gelenkkette (Hüftgelenke, Beckenring, Kreuzbein ->LWS)
Eine Bandage würde ich nicht unbedingt tragen, da sich die Muskeln gestützt fühlen, sich daran gewöhnen können und ihre Tätigkeit dadurch eher Vernachlässigen. Ich würde auf jeden Fall, wie schon erwähnt, in einem anständigen Befund, durch verschiedene Tests, die Ursache genauer ermitteln ob sich unter anderem eine Blockade dahinter verbirgt, eine zu schwache Tiefenmuskulatur oder eher ligamentäre oder kapsuläre Störungen im Vordergrund stehen.
Was mir noch aufgefallen ist, ist dass dein Steißbein etwas verschoben/subluxiert ist. Hast du manchmal Taubheitsgefühle oder Kraftlosigkeit in den Beinen?
 

Geschrieben

Hi, kurze Zwischenfrage:

  • Wie alt bist du?
  • Männlich/weiblich?

Was würde der Orthopäde denn gern tun? 
Mit der Diagnose liegt er in meinen Augen richtig, aber die Frage ist trotzdem, ob das für deine Beschwerden als Ursache überhaupt in Frage kommt. 

Geschrieben

@gianni Erstmal vielen Dank für die ausführlichen Antworten. Das mit dem Steißbein ist mir auch beim betrachten der Aufnahme aufgefallen. Taubheitsgefühl oder Kraftlosigkeit habe ich nicht, allerdings habe ich ein komisches Gefühl wenn ich den unteren Rücken ein wenig hin und her bewege. Kein Schmerz aber eine Art Knacken lässt sich manchmal im unteren Bereich wahrnehmen. Schwer zu beschreiben. Und irgendwie habe ich immer das Gefühl, dass etwas im Ungleichgewicht ist dort unten. Bessere Ansteuerung der Muskulatur auf der rechten Seite als auf der linken.

 

@Stephan Ich bin männlich und 27 Jahre alt. Der Orthopäde selbst möchte nicht tun. Er hat mir eine Heilmittelverordnung ausgestellt und folgendes ist dort vermerkt:

Diagnose: Leichte Hüftdysplasie, Funktionsstörungen durch Muskeldysbalance, - Insuffizienz, -verkürzung

Therapie: Wiederherstellung, Besserung der gestörten Muskelfunktion, Muskelaufbau, Kräftigung der Hüftabduktoren und Außenrotatoren, Anleitung zum Eigentraining

 

Wie bereits erwähnt, ich habe an sich keine wirklichen Beschwerden. Ich hatte vor einigen Wochen mal Schmerzen im unteren Rücken weil beim Kreuzheben meine Technik nicht 100 % richtig war. Danach habe ich mehr auf meinen Rücken geachtet und hatte nach diesen Kreuzheben Sessions auch keine Schmerzen mehr. Die Bandage wollte ich einfach nur zur Stabilisierung / zum ausprobieren bei hohen Gewichten.

Geschrieben

Hallo Badebeister,

würde sagen, keine Probleme mit der Hüfte, aber Gleitwirbel/ Abnutzung Wirbelfortsätze, Problem ISG (links auf dem Bild).

Schwaches Bindegewebe? Lordose? Sitzposition?

Das rauhe Sitzbein kann ggf. auf Überlastung der Sehnen, Anfälligkeit der Sehnen/ Schwache Sehnen hinweisen, muß aber nicht.

Ich würde an Deiner Stelle nochmals Ärzte abklappern, für eine richtige Diagnose und dann die richtigen Übungen/ Kieser etc. machen.

Geschrieben

Ja Mensch, schöne scheiße. Da gehts zum Doc und willst ne Bandage haben und kommst als Krüppel wieder raus :)

Nochmal danke für die zahlreichen Beiträge.

@annon  Grundsätzlich sitze ich relativ viel am Tag. Bürojob + zu Hause. Ich werde das mal beim physio ansprechen. Habe ja nun 6 x aufgeschrieben bekommen. Außerdem suche ich noch regelmäßig privat einen Chiropraktiker auf. Wie gesagt, einen weiteren Örthopäden aufzusuchen macht in meinen Augen keinen Sinn. Die wollen und können einem eh nicht langfristig helfen. Dazu reicht die Behandlungszeit nicht aus + mehr als Symptom Therapie wird da eh nicht gemacht. Ich denke der ein oder andere hier wird mir sicherlich zustimmen.

Geschrieben

Eine Frage habe ich noch wegen dem Steißbein. Ich hab keine wirklichen Schmerzen in dem Bereich, nichts desto trotz ist das Steißbein ja verschoben. Sollte oder kann man das korrigieren? Ich habe gelesen das würde wohl rektal gemacht werden? Hört sich erstmal nicht so toll an :D

Geschrieben

Guten Abend

hab mich mal eben eingelesen.

So wie ich das verstanden habe, hast du einen Bürojob, sitzt viel und gehst dann regelmäßig ins Studio?!
Dann hast du beim Kreuzheben festgestellt, dass es mal in der LWS zieht und bist zum Arzt und es kam eine Hüftdysplasie raus?

Kontrolliert jemand deine Techniken? Was heißt denn bei dir viel Gewicht beim Kreuzheben? Sauber?
Kniebeugen mit drin? Wie siehts mit deinem Volumen aus?
Hast du einen Trainingsplan?
Denke da könnten eine Menge Faktoren für die Ursache sprechen.
Solltest beim Physio einen Befund bekommen und dann kann er mit dir durchgehen wie du auch Tiefenmuskulatur trainierst um wirklich stabil zu sein. Solltest lernen wie du dich ordentlich dehnst und mobil hälst.
 


Eine ganz nette Übung die dir viel bringen kann.

LG

Geschrieben

@Jan Du hast es richtig verstanden. Beim Kreuzheben führe ich derzeit 120-130 kg im 5 x 5 durch. Auf saubere Technik achte ich sehr. Bin bereits sei fast 10 Jahren am Eisen. Der untere Rücken limitiert mich beim Kreuzheben, sonst wären sicherlich noch 10-20 kg mehr drin. Kniebeugen ist schon längere Zeit nicht mehr drin.

Ich habe auch nicht nach jeder Einheit Kreuzheben Rückenschmerzen, nur merke ich einfach das sich eine gewisse Dysbalance in meinem unteren Rücken befindet und grundsätzlich meinte linke Seite kräftemäßig hinter meiner rechten steht.

Wie bereits erwähnt werde ich in den nächsten Wochen daran arbeiten und weitere Informationen und Therapien einholen. Nichts desto trotz, auf dem Bild ist ein verschobenes Steißbein zu sehen. Sollte das wieder in Position gebracht werden?

Geschrieben

Möglicherweise hat das Steißbein etwas damit zu tun - muss aber nicht.

Hast ja noch viele andere Strukturen in der Nähe die Probleme machen können.
Vielleicht der Muskel zu fest und muss mal wieder gelöst werden? Faszien verklebt? Muskeln durchs sitzen verkürzt?
Da würde mir als erstes dein Hüftbeuger einfallen - wenn der verkürzt ist, klappt das Kreuzheben auch nicht mehr richtig.

Wenn das Steißbein keine größeren Probleme macht, würde ich mir da auch erstmal weniger Gedanken machen.
Wichtig ist, dran zu bleiben und deine Übungen regelmäßig zu machen, dehnen etc.
 

Geschrieben

Okay, wie gesagt ich hab in den nächsten Tagen / Wochen einige Termine diesbezüglich und werde dann mal berichten wie es mir ergangen ist.

Geschrieben

Morgen,

hat den Grund, dass mein unterer Rücken bei dieser Übung ermüdet, bevor ich die Beine effektiv trainieren konnte.

Aufgrund körperlicher Gegebenheiten werde ich nie mit komplett geradem Rücken beugen können. Hinzu kommt dann noch fehlende Mobilität im Sprunggelenk. So hatte ich immer etliche Faktoren die ich berücksichtigen musste beim beugen und konnte mich nicht aufs wesentliche konzentrieren. Es fühlte sich einfach nicht gut an. Vielleicht werde ich das nochmal angehen, aber im Moment ist es mir zu viel aufwand den ich betreiben müsste, um eine ordentliche Beuge hinzukriegen.

Geschrieben

Dann solltest du mal die Ursache suchen.
Natürlich kann man Übungen, die sich nicht gut anfühlen rauslassen.
Aber Dinge nur zu umgehen bringt dich nicht weiter und schränkt dich nur ein.

Ich denke du solltest dir mal jemand erfahrenes zur Hilfe holen der das bewertet und dich anleitet.
Ich kämpfe ebenfalls seit 9 Jahren mit der Kniebeuge. Immer dran bleiben und an sich arbeiten.

Kommentare

You are posting as a guest. Wenn du bereits einen Account hast kannst du dich hier anmelden.
Note: Your post will require moderator approval before it will be visible.

Gast
Auf dieses Thema antworten...

×   Du hast formatierten Text eingefügt.   Restore formatting

  Only 75 emoji are allowed.

×   Dein Link wurde automatisch eingebettet.   Einbetten rückgängig machen und als Link darstellen

×   Your previous content has been restored.   Clear editor

×   You cannot paste images directly. Upload or insert images from URL.



  • Beiträge

    • bbgphysio
      Guten Morgen! Ein Schwindel der vom Gleichgewichtsorgan im Innen Ohr kommt, wo auch der Lageschwindel dazugehört geht eigentlich immer mit einem Drehschwindel einher. Dabei kann das Organ durch entzündungen direkt betroffen sein einschließlich seinem dazugehörigen nerv oder die sog. Bogengänge sind das Problem. D.h. kleine steinchen haben sich gelöst und schwimmen nun in diesen Röhrchen rum wo sie nicht hingehören. Flimmerhärchen werden gereizt was zu lageabhängigem Schwindel führt da  die Bogengänge Kopfbewegungen dem Gehirn regiestrieren. V.a. beim Hoch und runterschauen kommt es dann zu einem Drehschwindel. Das klinische Bild pass hier aber nicht rein.   Hast du schon einmal ein Kopf CT gemacht Matze? WEnn ja vielleicht hab Ich das überlesen Wenn hier alles in Ordnung ist dann Tippe Ich eher auf ein Problem der oberen HWS. Hattest Du schon einmal ein Schleudertrauma gehabt oder ähnliche Traumatas am Kopf? Die Symptome sind typisch für eine Irritation der Art.Vertebralis. Es kann sein daß dein Atlas (1.Halswirbel) verschoben ist, oft ist er nach vorne geglitten. Auch das Herzrasen spricht dafür daß es sich eher um eine Kompression von Nervenstrukturen handel. Das Herz wird unter anderem von der Brustwirbelsäule vegetativ versorgt, aber auch oben an der HWS durch eingeklemmte Wirbel kann es zu Beschwerden kommen
    • Gast Matze
      Hallo zusammen. ich leide seit ca. 6 Jahren an einem Problem das sich wie folgt äußert. Dauerhaftes Wirr Gefühl/Watte im Kopf/Kopfenge das Gefühl das sich im Kopf alles zusammen zieht  , in schlimmeren Fällen auch mit Schüben das bei mir sogar Herzrasen auslösen kann. Speziell beim Sport aber auch beim Einschlafen manchmal.    Bei mir fing es vor 6 Jahren damit an , als ich aus einer Wirtschaft herausgelaufen bin und plötzlich ein extrem komisches gefühl in meinem Kopf bemerkte . Es war nicht direkt ein Schwindel , eher so ich nenne es immer extremes Wirr Gefühl , Benommenheit Watte im Kopf. Das Gefühl wurde so stark das ich dachte gleich gehen die Lichter aus. Danach habe ich mich auf den Boden gesetzt und auf den RTW gewartet. Im KH wurden ein paar Tests gemacht , aber alles schien in Ordnung.   Ich habe eigentlich alles schon ausprobiert Ärtzlich gesehen. Schädel MRT + Hirnströmen messen + Elektronen an beinen und Kopf , dazu wurde das schnelle aufstehen getestet was mein Blutdruck sagt. (Alles war in Ordnung) HNO Lagerschwindel Test und ein weiterer Test mit Wasser in den Ohren. (Alles war in Ordnung) Lungenarzt Lungenfunktionstest durchgeführt . Lungenvolumen lag bei 130% also sehr gut. Lungen geröngt (Alles war in Ordnung) Augenarzt spezieller Test wo ich mit den Augen an einem Gerät folgen musste. Sehstärke überprüft (Alles war in Ordnung) Extrem viele Blutwerte Testen lassen gegen so ziemlich alles . (Alles war in Ordnung) Kardiologe Herzultraschall und 24/7EKG (Alles war in Ordnung) MRT von Halswirbelsäule (Alles war in Ordnung) Trotzdem mehrfach schon Physio gemacht , bringt alles nichts.   Bestimmt noch einiges mehr . Mir fällt es nur gerade nicht ein.   Jetzt bin ich auf eine Diagnose selbst gestoßen , die es meiner Meinung nach zu 95% beschreibt. Und zwar ist das "Funktioneller Schwindel, auch PPPD genannt".   "Funktioneller Schwindel, auch PPPD genannt". ------------------------------------------------------- Häufige Symptome im Kopf Benommenheit & Wattegefühl: Der Kopf fühlt sich oft benebelt, wie betrunken oder „wie in Watte gepackt“ an. Druck- oder Kappengefühl: Viele Betroffene berichten von einem Druckgefühl im Kopfbereich, das sich anfühlt wie eine zu enge Kappe oder ein Schraubstock. Visueller Schwindel: Die Beschwerden nehmen beim Betrachten von Mustern (z. B. Streifen) oder sich bewegenden Objekten zu. [1, 2, 3]"   Typische Auslöser PPPD entsteht oft nach einem akuten Schwindelereignis, wie etwa einem Lagerungsschwindel, entzündlichen Gleichgewichtsstörungen oder Panikattacken. Danach bleibt die Unsicherheit bestehen, selbst wenn die ursprüngliche Ursache abgeklungen ist. [1, 2, 3, 4]   Typische Auslöser PPPD entsteht oft nach einem akuten Schwindelereignis, wie etwa einem Lagerungsschwindel, entzündlichen Gleichgewichtsstörungen oder Panikattacken. Danach bleibt die Unsicherheit bestehen, selbst wenn die ursprüngliche Ursache abgeklungen ist. [1, 2, 3, 4]     Vorallem bei dem Punkt "Typische Auslöser"  Genau das war eingetroffen , und seit dem das passiert ist , lebe ich mit diesem schrecklichen Gefühl im Kopf. Es vaiert gibt besser und schlechtere Tage. Allerdings ist Watte Gefühl bzw benommenheitsgefühl immer da!   Ich wollte mir einfach mal eine weitere Meinung einholen. Ich bin echt schon am verzweifeln.   liebe Grüße Matze
    • Alex Inspire
      Hallo zusammen,   ich möchte gern eine fachliche Frage in die Runde geben: Welche physiotherapeutischen Ansätze haltet ihr bei Amyotrophe Lateralsklerose (ALS) langfristig für sinnvoll?   Mich interessieren vor allem Erfahrungen zu Beweglichkeit, Dehnung, Atemphysiotherapie, Erhalt von Funktionen und der Frage, wo Therapie eher unterstützt und wo sie möglicherweise überfordert. Gerade bei einer fortschreitenden neurologischen Erkrankung finde ich spannend, wie Physiotherapeutinnen und Physiotherapeuten hier den richtigen Rahmen einschätzen.   Ich beschäftige mich mit dem Thema auch auf meiner Website alexinspire.de und möchte dazu gern fundierte Perspektiven und Erfahrungen sammeln.   Danke euch. Alex

×
×
  • Neu erstellen...

Cookie Hinweis

Diese Website verwendet Cookies, um eine bestmögliche Erfahrung bieten zu können | anpassen oder mit okay bestätigen.
Forenregeln | Datenschutzerklärung