Jump to content

larsxschneider

Mitglieder
  • Gesamte Inhalte

    3
  • Benutzer seit

  • Letzter Besuch

Personal Information

  • Bei Physiowissen als
    Patient

larsxschneider's Achievements

Physiotherapie Newbie

Physiotherapie Newbie (1/14)

0

Ansehen in der Community

  1. @gianni Vielen Dank für Deine Nachricht. Bei der Diagnose Frozen Shoulder bin ich nicht 100% sicher weil die Gelenksteife nicht so stark war. Vielleicht war es auch nur eine normale Entzündung? In jedem Fall hat die Cortisontherapie gut angeschlagen. Heben des Armes über 90 Grad (siehe Bild) und Außenrotation ist nicht möglich. Abduktion geht nur so bis etwa 30 Grad (siehe Bild). Alles andere Bewegungen gehen (Innenrotation, Hand im Rücken). Aufgrund der Corona Krise scheint es nicht möglich zu sein zusätzliche Physiotermine zu bekommen. Ich habe mir einen Pulley und ein Handfahrrad gekauft. Meinst Du die Übungen sind OK? Was könnte ich noch daheim üben bzw. welche Geräte könnte ich mir noch kaufen? Ich denke über eine Rudermaschine nach aber ich weiß nicht ob ich das schon kann.
  2. @gerlitzen Wie geht es Dir? Geht es Deinem Arm besser nach all den Jahren? Ich habe jetzt das gleiche Problem ...
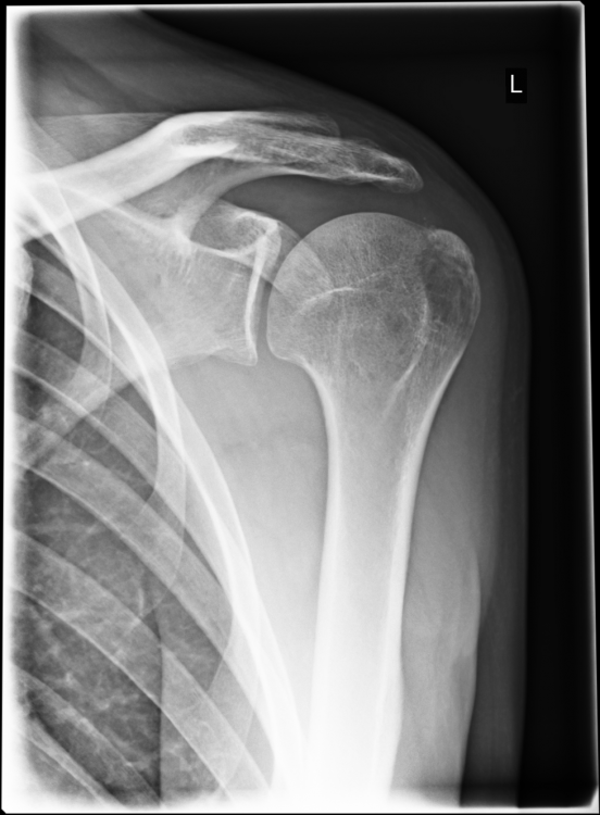
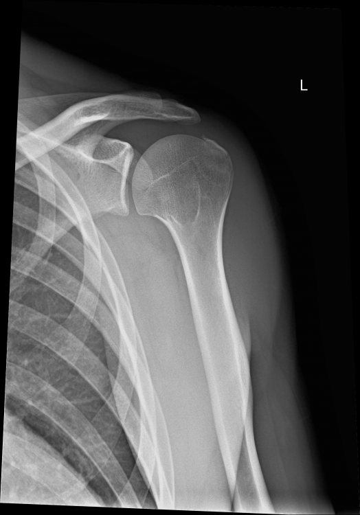
  3. Röntgen am Unfalltag: --- MRT nach 6 Wochen (die Bilder habe ich selbst am PC gemacht - mein Arzt hat sie mir vorher gezeigt): --- Röntgen nach 12 Wochen:
×
×
  • Neu erstellen...

Cookie Hinweis

Diese Website verwendet Cookies, um eine bestmögliche Erfahrung bieten zu können | anpassen oder mit okay bestätigen.
Forenregeln | Datenschutzerklärung