Jump to content

Subcapitale Humerusfraktur (A0 11-A2.3)

Dieses Thema bewerten


Recommended Posts

Geschrieben

Hallo zusammen,

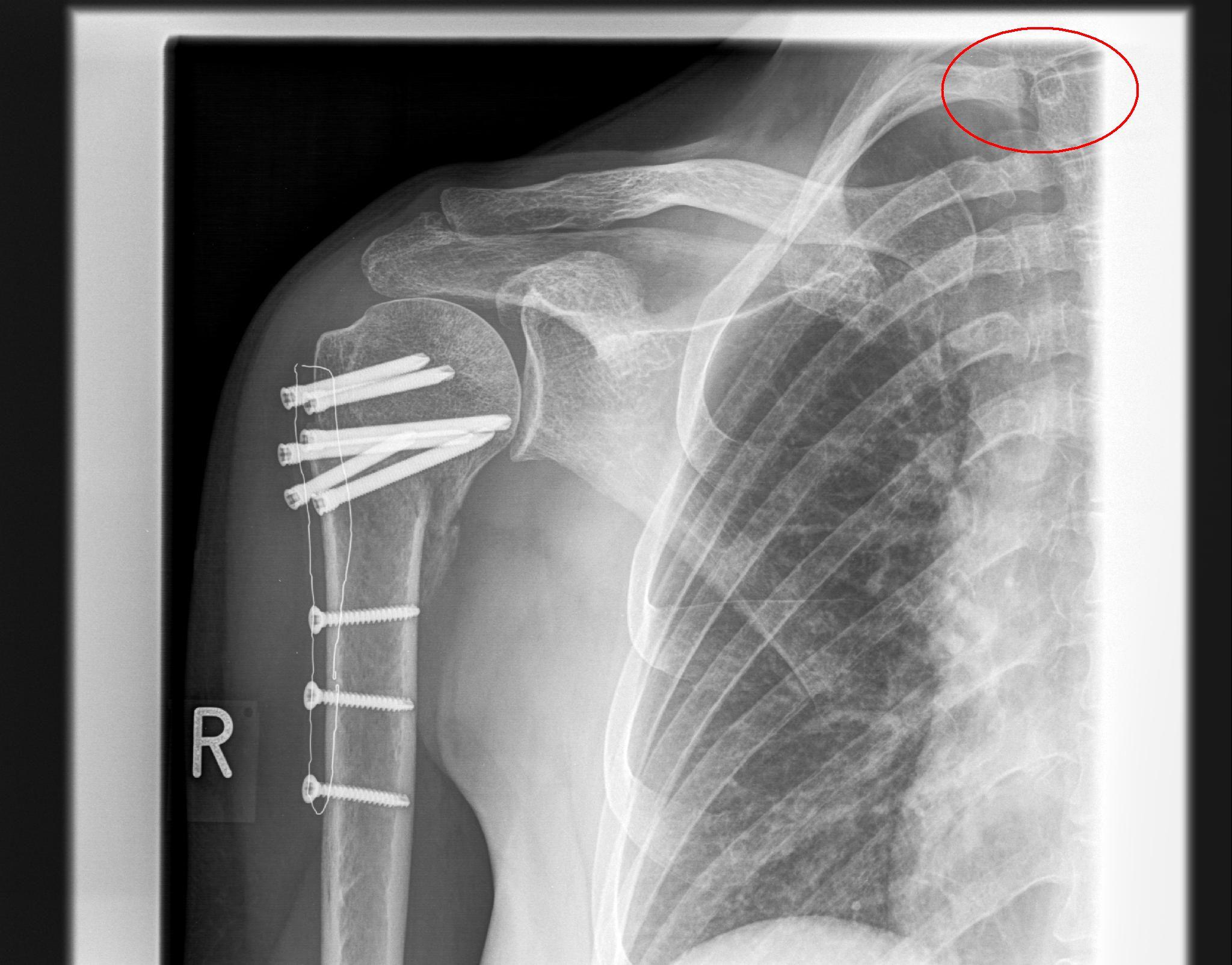
am 30.04.2018 hab ich (40+) mir durch einen Mountainbikeunfall den rechten Oberarm kurz unterhalb der Oberarmkopfes gebrochen.
Es war eine mehrfragmentäre Humerusfraktur mit Head Split rechts, und der Bruch wurde durch eine Plattenosteosynthese fixiert (siehe Foto).

Heute,  fast 9 Monate nach dem Unfall geht es mir wirklich erstaunlich gut. 
Zusätzlich zu der Physiotherapie (leider ja nur 2 x 20 Minuten in der Woche, und leider auch mit Unterbrechungen wegen der Krankenkasse) gehe ich zusätzlich schwimmen
und mache Übungen zuhause.

Ich kann der Arm wirklich in alle Richtungen bewegen, Nackengriff etc. ist alles kein Problem, selbst den BH kann ich wie früher hinten öffnen und schliessen.
Ich kann den Arm auch locker hinter den Kopf legen und die Schmerzen sind im Vergleich zu den Anfängen wirklich erträglich.

Aber meine Frage hier an die Experten ins Forum ist: soll ich die Platte entfernen lassen JA oder NEIN?
Mein Orthopäde sagt immer "wenn das meine Schulter wäre, ich würde es drin lassen, das Risiko das bei der Entfernung sich was verschlimmert wäre immer gegeben".

Ich fühle mich wie gesagt schon erheblich besser, aber die Stelle wo die Platte sitzt schmerzt bei manchen Bewegungen im Alltag, sogar beim Haare waschen. Oder auch wenn ich beim Autofahren einfach für ein Dankeschön-Handzeichen den Arm hebe tut es weh.

Meine Einstellung ist eigentlich das ich keine Fremdkörper im Körper haben möchte; aber natürlich habe ich auch keine Lust auf eine OP mit Vollnarkose und nochmal aufgeschnitten zu werden.
Die Narbe ist ja das zweite Thema. Die ist über 14 cm lang und ich habe in den letzten 9 Monaten alles gegeben um sie geschmeidig zu machen. Aber morgens wache ich immer mit einem heftigen Spannungsgefühl auf. Ich hoffe das sich das auch noch verbessern wird. Bei einer zweiten OP würde wieder alles von vorne anfangen.

Ich hab schon eine zweite Meinung eingeholt und einen zweiten Orthopäden gefragt; der sagte auch die Platte bleibt drin wenn es nach ihm geht.
Meine Physiotherapeuten hingegen sagen immer das aus deren Erfahrung die Patienten eine erhebliche Verbesserung nach dem Entfernen verspüren.

Ich bin total unschlüssig und neugierig was ihr dazu sagt.

Lieben Dank schon mal im voraus

Liebe Grüße
Biggi



 

bild1.jpg

im000002.jpg

image2.jpg

Geschrieben

Entschuldige Biggi,
ich habe dein Posting total überlesen. Schade, dass sich noch niemand dazu geäußert hat ?
Also, mir kommt es etwas seltsam vor, dass die Orthopäden eine Entfernung der Platte nicht befürworten. Es spricht eigentlich nichts dafür sie drin zu lassen, außer deine Knochen sind porös und du bist schon über 80!
Du hast Recht, es ist ein Fremdkörper der eigentlich raus sollte. Nach meiner Erfahrung ist es so, dass 70% meiner Patienten, nach Jahren Probleme damit bekommen haben. Am schlimmsten sind die Synthesen am Fuß, Schienbein/Wadenbein wo weniger Muskelgewebe darüber liegt. Das Hauptproblem ist, der Knochen gewöhnt sich an die Entlastung und baut ab. Dadurch entsteht mit der Zeit eine Verschmälerung des Knochens und die Schrauben können rausschauen und Nerven und Gewebe reizen. Außerdem birgt das Metall langfristig gesundheitliche Risiken, wie etwa eine erhöhte Neigung zu Knochenbrüchen oder Infektionen. Man sollte allerdings mit der Entfernung nicht zu lange warten, da der Zugang zu Schrauben durch Verwucherungen, Vernarbungen und Überbauung durch Knochenmaterial für den Operateur nicht einfacher wird!

Ich hoffe, ich konnte dir als Entscheidungshilfe etwas dienen ;)

Viel Glück!!!

Geschrieben

Sorry, dass Ich mich jetzt erst melde war krank!☹️ Da geb Ich aber Dem Kollegen recht. Im Moment sieht es doch so aus. Die Physios sind für Plattenentfernung, die Ärzte wollen sie drinlassen.  Bei einer älteren Frau ist es verständlich, aber du bist noch jung. Willst du dein ganzes Leben lang Metall im Körper haben Biggilino? Solange die Schrauben drin sind können die Schraubenlöcher nicht heilen,d.h das Knochenmark ist durch Metall ersetzt.Ich kann mir nicht vorstellen dass dies auf Dauer so gut ist wenn man bedenkt dass sich knochenzellen ständig neu bilden. Es ständig einen Stoffwechsel gibt im Knochen. Metall hat diese Eigenschaft nicht. Natürlich muss die Fraktur komplett verheilt sein. Wenn dies der Fall verstehe Ich einfach nicht warum die Ärzte so dagegen sind. Die Plattenentfernung ist doch dann kein so komplizierter Eingriff mehr. Du Beschreibst ja selbst noch Schmerzen und ein unangenehmes Spannungsgefühl unter der Narbe. Unter der Narbe läuft direkt die Platte. Hier ist wenig Fleisch. Das Spannungsgefühl wird durch die Platte verursacht die das Bindegewebe auf starken Zug hält. das dies mit der Zeit nachlässt bezweifle Ich ehrlich gesagt solange die Platte darunter sitzt. Die Fraktur ist normalerweise schon  geheilt und kann die Schmerzen nicht verursachen. Klar muss nochmal vom Physio getestet werden welche Strukturen den Schmerz hervorrufen. Aber Ich will es nicht ausschließen dass auch hier die Platte schuld ist. Diese kann immer im Bewegungsablauf stören und wo drücken. L.g

Geschrieben

Guten Morgen,

und vielen lieben Dank für die beiden Antworten!

Ich habe nächste Woche wieder einen Termin bei meinem Orthopäden und will das Thema nochmal zur Sprache bringen.

Ich halte euch auf dem laufenden.

LG
Biggi

  • 3 months later...
Geschrieben

Hallo, ich hatte eine subkapitale Humerus Mehrfragmentfraktur rechts AO 11-A3. Gemacht wurde  Rekonstruktion der Gelenkfläche, Aufrichten des Kopfes, Naht der Rotatorenmanschette und Stabilisierung mit winkelst. Platte 3 Loch. Die OP war vor 3 Wochen, bin in Physio und trainiere viel zu Hause. Die Ärzte sind mit der Beweglichkeit sehr zufrieden. Ich komme seitlich auf 90 Grad, ABER wenn ich den Arm nach vorne ausstrecke, kommt die Schulter mit nach vorne, bzw. oben. Insgesamt steht die betroffene Schulter weiter vorn. Bewegungen nach vorne kommen mir leicht blockiert vor und sehen auch komisch aus, weil die Schulter mit hoch kommt, ich mich aber auch bei größter Anstrengung nicht anders bewegen kann. Hängst das mit dem Supraspinatus zusammen? Wie lange muss ich mit diesem gestörten Bewegungsbild rechnen? Lösen sich OP-Fäden noch auf, die innerlich verwendet wurden? 

Vielen Dank für Antworten im voraus.

 

Geschrieben

Hallo,
nein, ich denke bei einer Schulterbewegung etwas komplexer. Der Supraspinatus gehört zur Rotatorenmanschette und gilt als Startermuskel für die Armbewegung. Außerdem, zusammen mit anderen Muskeln, als Armheber bis 90° und als Stabilisator für das Schultergelenk. Ich denke nicht, dass alleine dieser Muskel deine Bewegung beschränkt.
Es ist zwar nicht einfach die Problematik blind zu beurteilen, aber ich denke da spielt das muskuläre Gleitlager am Schulterblatt eine entscheidende Rolle! Außerdem könnten bei so einer schweren Läsion Blockaden im Halswirbel und Schlüsselbein die freie Bewegung mit behindern.
Kontrakturen durch Narben und wochenlanger Ruhigstellung/Entzündungen des Gelenks können zusätzlich noch das Kapsel-Bandapparat des Schultergürtels geschrumpft haben. Ich denke du brauchst noch etwas Zeit und Vertrauen in deine Therapeuten. So ein schweres Schultertrauma kann sich gut und gerne ein Jahr hinziehen!!!

Gute Besserung, das wird schon wieder (;))

Geschrieben

Vielen Dank für die Antwort. Mein Physio hat gestern mit mir Übungen begonnen zur Rotation. Ging sehr schwer, besonders die Aussenrotaion. Zu Hause habe ich einen Schulterstuhl, der nur für Ab/Aduktion eingestellt ist. Nun habe ich beim Chirurgen angerufen und dieser meinte, die Rotation soll erst 6 Wochen nach OP begonnen werden. Ein Muskel wurde über die Platte gelegt und an 2 Stellen befestigt, dies verursache, dass die Schulter nach vorne steht. Wie gesagt, zur Seite geht auf 90 Grad ohne Einschränkung oder Schmerz. Der Arm war nur 5 Tage vor OP ruhiggestellt und danach ging es gleich mit Physio los. Welche Muskeln sind für die Rotation zuständig? 

Liebe Grüße

 

Geschrieben
vor 2 Stunden schrieb schulter19:

Nun habe ich beim Chirurgen angerufen und dieser meinte, die Rotation soll erst 6 Wochen nach OP begonnen werden.

...das ist in der Regel auch erst ab der 7. Woche erlaubt, genauso das bewegen der Schulter über 90° und der lange Hebel mit gestrecktem Arm!
Außer der Chirurg hat schriftlich etwas anderes festgelegt! Es gibt allgemein geltende Behandlungsstandards für Physios, nach dem man sich eigentlich richten sollte, wenn man keinen Behandlungsplan vom Krankenhaus bekommen hat. Soll ich sie dir verlinken?

 

vor 3 Stunden schrieb schulter19:

Der Arm war nur 5 Tage vor OP ruhiggestellt und danach ging es gleich mit Physio los.

...das kann schon sein, trotzdem hat man während der Heilung eine Entzündungsphase, dass die Gelenkskapseln schrumpfen lassen kann. Oder hast du entzündungshemmende Medikamente genommen?

 

vor 3 Stunden schrieb schulter19:

Welche Muskeln sind für die Rotation zuständig?  

...es gibt die für die Innen- und welche für die Außenrotation. Hier hast du eine ausführliche Beschreibung...
https://ypsi.de/die-rotatorenmanschette-anatomie-aufgaben-und-training/?cookie-state-change=1556285190628



 

Geschrieben

Zuerst habe ich Ibu flam 600 genommen vor der OP und danach Voltaren Resinat, dies konsequent bis Anfang der Woche. Der Arm ist gut abgeschwollen und die Hämatome verschwunden. Zuerst war der Bizeps total eingefallen und der Arm dünner, das baut sich gerade langsam wieder auf. Nachst bentuze ich so etwa die halbe Nacht Gilchrist, um den Arm wirklich ruhen zu lassen. Danach halte ich es in fixierter Position kaum noch aus und schlafe ohne weiter. Für die Verlinkund des Bahandlungsplanes wäre ich dankbar. Mein Physio ist super, vermutlich hab ich ihn verrückt gemacht, weil ich bemerkt habe, dass die Rotation im Bewegungsbild fehlt. Jetzt bin ich etwas beruhigter, da diese Bewegung noch gar nicht vorgesehen ist. Kann ich nach 6 Wochen OP mit voller Beweglichkeit rechnen? Mein Zeil danach wäre es, wieder Kraft in den Arm zu kriegen. Merci : )

Geschrieben

Ich habe bisher auch nur gutes nach einer Entfernung erlebt, jedoch ist jede OP ein Risiko aber danach finde ich sollte man nicht gehen. Die Narbe wird bestimmt nicht so schön wie sie war aber man kann sie schön pflegen:) 

Geschrieben

Hallo, nun bin ich in Woche 5 nach der Op angelangt und die Schulter bewegt sich noch immer stark mit nach oben, wenn ich den arm hebe. Das Schulterblatt hinten steht stärker raus und die Schulter steht noch immer weiter vorne. Dadurch ist das ganze Bewegungsbild gestört und es hat Auswirkungen auf den gesamten Rücken. Der Arzt, den ich gestern dazu befragte, meinte, es könne sein, dass die Platte oben ein Engpass macht, weil sie 3 mm dick sei (Carbofix) und dies so bleibe. bis man sie entferne. Dies sei ab dem 6 ten Monat möglich. Ich denke, dis dahin werde ich einen völlig verrenkten Rücken haben und es kommt zu falschen Bewegungsabläufen. Damit kann ich mir gar nicht vorstellen, arbeiten zu gehen usw. Welche Erfahrungen gibt es hierzu, kann ich erwarten, dass sich das noch bessert.? Röntgenbilder geibt es erst nächste Woche , um zu beurteilen, wie genau der Stand ist. Bin beunruhigt, denn der Stand heute kommt einer Behinderung gleich. Merci im Voraus!

Geschrieben
vor 3 Stunden schrieb schulter19:

Der Arzt, den ich gestern dazu befragte, meinte, es könne sein, dass die Platte oben ein Engpass macht, weil sie 3 mm dick sei (Carbofix) und dies so bleibe. bis man sie entferne.

...das kann gut möglich sein. Das Problem hört man immer wieder von Patienten mit Plattenosteosynthesen. Sie können auf einen Nerv oder Muskel drücken. Das ist aber meistens reversibel, das bleibt nicht so. Du brauchst dir keine Sorgen zu machen ;)
Du solltest trotzdem auf eine korrekte Ausführung der Übungen und Bewegungen achten, auch wenn das nicht so klappt wie man möchte, um Ausweichbewegungen und ein Anbahnen falscher Bewegungsabläufe zu verhindern!
Ich hoffe der Arzt hat dir weiter KG verordnet?

Geschrieben

Danke für die Antwort. Ich werde die KG auf jeden Fall weiterführen und hole mir nächste Woche ein neues Rezept. Ausserdem will ich bei den Physios mit medizraining anfangen, das gibt es dort. Heute war ich bei einer Kollegin vom üblichen Physio. Sie hat mir Übungen gezeigt, um die Schulter unten  und hinten zu halten, sehr schwer. Sie meinte die Schulterstellung sei zu diesem Zeitpunkt bei der Verletzung normal und der Brustmuskel ziehe die Schulter nach vorn, da es ein sehr starker Muskel sei. Sie macht ganz andere Übungen wie der Physio, bei dem ich sonst bin. Ich muss wohl aufs Röntgen warten und bin jetzt unsicher, was ist uns wie ich am besten trainieren soll. Sie meinte, bis alles wieder wie zuvor sei, dauere es ein Jahr. 

  • 2 weeks later...
Geschrieben

Hallo, der Knochen verknöchert gut und mir wurde in Aussicht gestellt, die Platte in 3 bis 6 Monaten schon zu entfernen. Die OP ist nun 7 Wochen her und ale sind mit dem Ergebnis zufrieden ausser ich. 

Das Schulterblatt steht noch immer sehr raus, stört beim Sitzen. Das Schlafen ist mühsam, da ich eine Seitenschläferein bin und damit beim Schlaf die Schulter nach vorne fällt und wehtut. 

Auch tagsüber ist die ganze Geschichte nicht so richtig schmerzfrei, so dass ich den Arm mal leinen Moment vergessen könnte. Es ist mehr die Rotorenmanschette, Schlüsselbeiregion, oberrer Rückenbereich über dem Schulterblatt was schmerzt ( Mischung aus Muskelkater, Verspannung). Ab und zu merke ich auch die Platte. Morgens ist das Gelenk steif und ich muss erstmal Aufwärmübungen machen. Ich komme über 90 Grad sowohl seitlich wie auch vorne, allerdings geht die Schulter mit hoch. 

Wie lange muss ich noch mit Schmerzen rechnen, welche gezielten Übungen kann ich machen, um das Schulterblatt zu zentrieren, wie lange dauert der Muskelaufbau? 

Ich habe nun Pyhiso am Gerät 1 Stunde, 2mal pro Woche und trainire selbst noch tgl. 

 

lg Anna

schulter 2.jpg

schulter.jpg

Geschrieben

Hallo Anna,
das sieht tatsächlich schon ganz gut aus, wenn du mich fragst. Allerdings sieht man auch, dass die Schraubenköpfe einige mm aus dem Knochen hinaus ragen. Da kann ich mir gut vorstellen, dass du da schlecht drauf liegen kannst.
Was ich mir aber nicht vorstellen kann ist, dass das Schulterblatt-Problem damit zusammen hängt. Das Wegstehen des Schulterblattes ist meist eine muskuläre Störung, nämlich des "serratus anteriors" dieser wird wiederum vom "thoracicus longus" innerviert, das von den Halswirbeln C5-C7 entspringt. Das ganze nennt man "scapula alata"
Es gibt also eine Engstelle, dass den Nerv unter Druck setzt und somit den Muskel unterversorgt. Meistens wird diese Engstelle von einem Bandscheibenvorfall hervor gerufen! Aber auch von einer verschobenen 1. Rippe, dass den Nerven zwischen Schüsselbein und 1. Rippe einengt. Und genau das habe ich auf einem deiner Bilder entdeckt. Lass das mal checken!

Rippengelenk.thumb.jpg.6adb1c0cb9cbb4df41593d426ccb5811.jpg

Geschrieben

Oh, meinst Du, das ist bei dem Sturz passiert? Rippengeschichten werden ja grundsätzlich konservativ behandelt, d.h. man kann da sowieso nichts machen, oder? Da muss ich vermutlich ein MTR machen gehen? vielen Dank für Deine Infos und genaues Schauen : )

lg anna

 

Geschrieben

...bei Unfällen entstehen oft Kollateralschäden, die zunächst übersehen werden, da die Primärschäden im Vordergrund stehen und umgehend behandelt werden sollten. Eine Subluxation des Rippengelenks kann in der Regel konservativ behandelt werden. Normalerweise genügt ein Professionelles einreken!
Manche Orthopäden haben diese Zusatzausbildung und können dir selber helfen. Ansonsten solltest du zu einem Chiropraktiker, Manualtherapeuten oder  Osteopathen!

Viel Glück, Gianni?

Geschrieben

Hallo, heute war ich beim Ostheopathen und der hat eine verschobene 1 Rippe und eine verschobene 4 Rippe wieder in die richtige Position gedrückt. Er hat verschiedene Blockaden ausgemacht und behandelt. Nun ist meine Frage, wie ich weiter vorgehen soll. Wann weiß ich sicher, ob meine Muskeln nun richtig angesteuert werden, wie wird eine Verletzung der Nerven behandelt? 

Ich habe seit 2 Tagen massive Schmerzen nachts beim Schlafen oder auch in Ruheposition. 

Der Ostheopath meint, ich soll eher weniger mit Gewichten trainieren, die Physios sind der Meinung, jetzt Kraft aufzubauen????

Am Freitag bin ich beim Ortopäden, ist es da empfehlenswert, sich gleich eine Überweisung für einenNeurologen zu besorgen? 

 

lg Anna

Geschrieben

Hallo Anna,
schön, dass du einen Schritt in die richtige Richtung gemacht hast. Zu deinen Fragen:
 

vor 3 Stunden schrieb schulter19:

Wann weiß ich sicher, ob meine Muskeln nun richtig angesteuert werden, wie wird eine Verletzung der Nerven behandelt? 

Der Nerv braucht eine gewisse Zeit um sich zu erholen. Du kannst ihn mit Nervenvitamine dabei unterstützen. In der Regel sind das die B-Vitamine, die den Nerv regenerieren und schützen können. Da würde ich dir ein Vitamin-B-Komplex empfehlen, da ist alles drin was die Nerven brauchen.

vor 4 Stunden schrieb schulter19:

Ich habe seit 2 Tagen massive Schmerzen nachts beim Schlafen oder auch in Ruheposition. 

...das war aber vor der osteopathischen Behandlung - oder? Was genau Schmerzt denn?
 

vor 4 Stunden schrieb schulter19:

Der Ostheopath meint, ich soll eher weniger mit Gewichten trainieren, die Physios sind der Meinung, jetzt Kraft aufzubauen???? 

...sie haben beide Recht! Besser ist es mit weniger Gewichten zu trainieren um Kraft/Ausdauer aufzubauen, dafür mit vielen Wiederholungen.
Dadurch werden die Muskeln und Nerven stimuliert aber nicht überlastet/ermüdet. Achte auch darauf die Übungen achsengerecht, langsam und ohne Ausweichbewegungen auszuführen!

vor 4 Stunden schrieb schulter19:

Am Freitag bin ich beim Ortopäden, ist es da empfehlenswert, sich gleich eine Überweisung für einenNeurologen zu besorgen? 

...ich fürchte das wird dir nichts bringen, der Neurologe behandelt in der Regel Schäden der Nerven, die er messen kann. Oder du bekommst von ihm Schmerzmittel - aber ich denke, da hast du schon genug bekommen ;) Du kannst uns aber gerne erzählen was der Orthopäde dazu sagt.

Bis dann....

Geschrieben

Die Schmerzen sitzen quasi über dem Schulterblatt im Nacken oder auch mal in der Schlüsselbeinregion. Nachts ist es am schlimmsten oder auch wenn ich bei einer Sitzung lange in Ruheposition bin. Der Ostheopathentermin war erst gestern und ich kann den Verlauf noch nicht so beurteilen. Er meinte, ich soll das Schulterblatt nach hinten und drücken bzw. meine Schulter nach hinten und genau auf meine Haltung achten. Ganz klar hab ich eine scapula alata. Ich hoffe, mein Nerv ist nun befreit und der seratus anterior kann angesteuert werden und sich regenerieren. Dann habe ich fürs Training zumindest eine Richtung und bespreche es morgen mit meinem Physio. Wenn ich nur korrekte Übungen mache, ist vieles nicht möglich und ich fühle mich unbeweglicher. Die Bewegung ist noch nicht differenziert, die Schulter geht noch mit hoch und man sieht vorm Spiegel Ausweichbewegungen. 

Danke für den Vitamin B Tipp, das werde ich gleich umsetzen und muss mal ehrlich sagen, dass ich diese Forum wirklich hilfreich finde. :)

lg anna

Geschrieben

Hallo, gestern war ich bei der Orthopädin. Sie meint, dass ich mich für die Schwere der Verletzung schon sehr gut bewegen kann (bin ja auch felißig und tgl. am Üben) und das abstehende Schulterblatt entweder mit einem in Mitleidenschaft gezogenen Nervus thoracicius longus oder eben mit dem ganzen Unfallereignis zusammenhängt. Ich habe nun eine Überweisung für den Neurologen (erst in 3 Wochen). Nun überlege ich, ob es nicht auch sinnvoll wäre, ein MRt machen zu lassen. Bisher sind nur Röntgenaufnahmen gemacht worden. Ist das sinnvoll? 

Die Rotation funktioniert noch nicht so gut und sie meinte, dass die Rotorenmanschette eben auch seine Zeit zur Heilung braucht sowie viel Physio. Für die Schmerzen im Nacken und auf der Vorgerseite im Schlüselbeinbereich habe ich mir ein Schmerzöl gekauft. Nächste Woche hole ich mir vielleicht noch Voltarensalbe. Das Schlafen ist schwierig, da ich nach 4 Stunden wach werde, weil mir der Schulterbereich schmerzt. Am besten geht es, wenn ich stehe oder laufe. Dennoch scheint der Heilungsverlauf positiv zu sein. Hat jemand noch Tipps zum spezifischen Trainieren des seratus anterior und der Rotorenmanschette? 

 

lg anna

Kommentare

You are posting as a guest. Wenn du bereits einen Account hast kannst du dich hier anmelden.
Note: Your post will require moderator approval before it will be visible.

Gast
Auf dieses Thema antworten...

×   Du hast formatierten Text eingefügt.   Restore formatting

  Only 75 emoji are allowed.

×   Dein Link wurde automatisch eingebettet.   Einbetten rückgängig machen und als Link darstellen

×   Your previous content has been restored.   Clear editor

×   You cannot paste images directly. Upload or insert images from URL.



  • Beiträge

    • Manchmal sind Beschwerden einfach chronifiziert und eine lokale Behandlung oder Behandlung des Bewegungsapparates gibt nach über 1 Jahr keinen Sinn mehr. Da muss man sich dann auch als Therapeut und Patient den Druck nehmen und Aktzeptieren daß es andere Herangehensweisen bedarf wenn es im Schmerzgedächtnis abgespeichert ist. Daß beiden Klar ist daß man sich einen wolf therapieren kann über alle Ebenen hinweg wenn es schon Zentral verankert ist. Also so daß man einen Zugang zum ZNS finden muss. Da sollte aufjedenfall die Therapie in einer  Medizinische Einrichtung wo sich auch die Physiotherapeuten auf chronische Schmerzpatienten spezialisiert haben weitergeführt werden. In einer  Praxis wenn man vom visceralen, bis Vegetativen Nervensystem über fasciale Verkettungen, Energetische Zusammenhänge usw, auf allen Ebenen befundet hat zu keinem Ergebnis kommt dann ist das Problem leider chronisch und wir kommen an unsere Grenzen. Eine Option für chronische Patienten wäre aufjedenfall Bewegungstherapie, allein wegen dem Gate control effekt und Ausschüttung von endorphinen aber da gibt es bestimmt auch noch mehr Werkzeuge, Spiegeltherapie ect. Aber dafür sind die Kollegen in chronischen Schmerzkliniken spezialisten und haben einfach einen anderen Zugang
    • Hallo,  ich habe seit Anfang September Knieschmerzen. Die Probleme kamen vermutlich aufgrund von einer Überlastung vom Laufen. Damals war ich im ultramarathon Training und lief ca. 100km/Wo. Eines Morgens war das Knie geschwollen und knackte beim Anwinkeln.  Ein Orthopäde diagnostizierte PFSS. Die Diagnose wurde ohne MRT oder Röntgenbild gemacht, da das letzte MRT Bild von vor 2Jahren keine Auffälligkeiten oder Tendenzen zeigte. Als Empfehlung wurde mir Eis, Ruhe und paar Tage Ibu empfohlen. Damals vermutete der Orthopäde, dass in 2-4 Wochen das Thema wieder ok sein sollte. Nach 4 Wochen Eis, Oberschenkel dehnen und reduziertem Krafttrainingsumfang waren die Schmerzen weg, jedoch war das Laufen noch unangenehm.  von dem an bekam ich nun 4x Xylo (oder ähnlich) ins Gelenk gespritzt.   Jetzt sind ca. 9 Wochen um, und trotz der Spritzen ist das Knie noch nicht wieder ‚gut‘. Nach langem Sitzen fühlt es sich ‚eingerostet‘ an. Beim lockeren Laufen von kurzen Strecken ist es schmerzfrei, jedoch habe ich einen Druck oder Kribbeln um die Kniescheibe herum.   Ist dieser Krankheitsverlauf normal- oder soll ich mir einen anderen Orthopäden suchen? Kann ich nun wieder trainieren, oder muss ich mein Knie noch für längere Zeit schonen?   Hatte bereits jemand ähnliche Probleme?   Vielen Dank Tobias 
    • Gast Gast
      Einlagen haben mir einen scheiss geholfen. Muskeln werden schwächer.  Kuck auf toe spacers übungen wie der Short foot, faszienarbeit rollen dehnen stechen was auch immer. Neurologische muskelproblematik dein körper nimmt die stabilität für die ausgeschalteten original arbeiter woanders her dementsprechend sind diese original arbeiter offline und die kompensationsarbeiter zu stark bzw. Überlastet. Denk an Spieler und Gegenspieler. Ich bekomme starke rückenschmerzen egal bei was aber wenn ich übungen mache wie 90/90 hiplift hipliftkickout und andwre hüftübungen [angepasst um den kompensationdarbeiter so gut es geht auszulassen) die den original arbeiter zwingen zu arbeiten dann verschwinden Sie binnen Minuten. Das ist natürlich nur ein temporärer hilfszyklus aber schneller als jede schmerzmedizin ein sehr guter quickfix. Kuck dir die Faszienlinien von Zehen bid Schädel an und find raus welche kompensationsmuster du hast die sollten dir nit entsprechenden übungen wieder lebensqualität geben sber langzeit ziel ist zurück in den urzustand so gut es geht und die neurologischen dysbalances auszugleichen. Lg

×
×
  • Neu erstellen...

Cookie Hinweis

Diese Website verwendet Cookies, um eine bestmögliche Erfahrung bieten zu können | anpassen oder mit okay bestätigen.
Forenregeln | Datenschutzerklärung